Free Teeth Whitening Pen

Complimentary Teeth Whitening Pen with your next routine dental visit. Limited time offer!

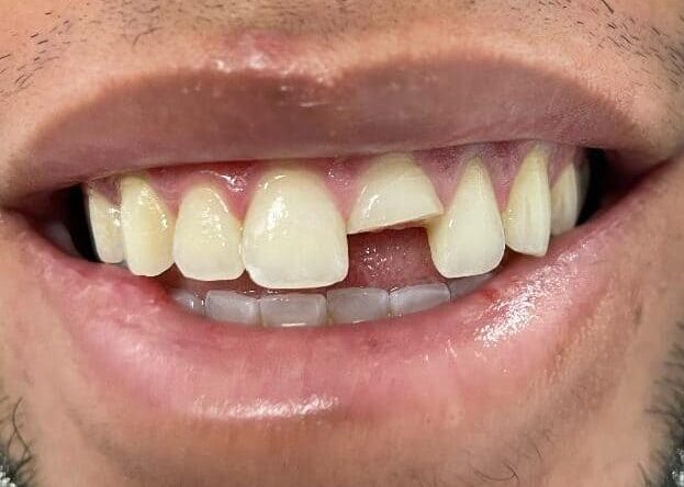
Tooth Extraction in NYC

wisdom tooth extraction

Painless Tooth Extraction in NYC

Your comfort is our top priority.   using modern technology and our expertise we strive to always provide you with best possible service. Whether your tooth is causing pain or it’s simply beyond repair our dental experts are able to help you extract the offending tooth painlessly and efficiently. 

As dentists we are trained to save teeth whenever possible.  Procedures such as dental fillings, crowns and root canals are all designed to save teeth.  In some instances a tooth cannot be saved and a tooth extraction is the best option. Smile Arts of NY provides pain free tooth extraction services in New York.

When is a tooth Extraction Necessary?

In general, the best option is to save teeth with procedures like fillings and when there’s nerve damage a root canal can be performed. 

When Tooth decay extends deep under the gum, the tooth is cracked, severe periodontal disease is present, or a tooth infection cannot be resolved a tooth extraction is recommended as the best option.  Tooth pain caused by a broken or infected tooth is a dental emergency which may require a tooth extraction to resolve.

How Can I prevent a Tooth Extraction?

The best way to prevent any dental problem from occurring is good oral hygiene habits at home, plus visiting the dentist twice a year for routine exam and dental cleaning appointments.  Diagnosing and treating dental problems early on, is the best way to prevent a future tooth extraction.  For example, a small dental cavity may destroy a tooth beyond repair if left untreated for too long.  We can often catch cavities before they get big at routine preventative appointments.  Sometimes, our patients can even reverse cavities that are just beginning to for with flossing and using a Fluoride mouthwash.

What are the symptoms that a Tooth Extraction is Required

The best way to determine if a tooth needs to be extracted is to visit your dentist for an accurate diagnosis.  When a tooth is required to be extracted it maybe infected causing pain and/or swelling.  Dental x-rays are required to determine the extend of the tooth damage.  Some very infected and painful teeth can be saved with a root canal and a porcelain crown.  Upon careful examination, the dentist can determine if your tooth can be saved.

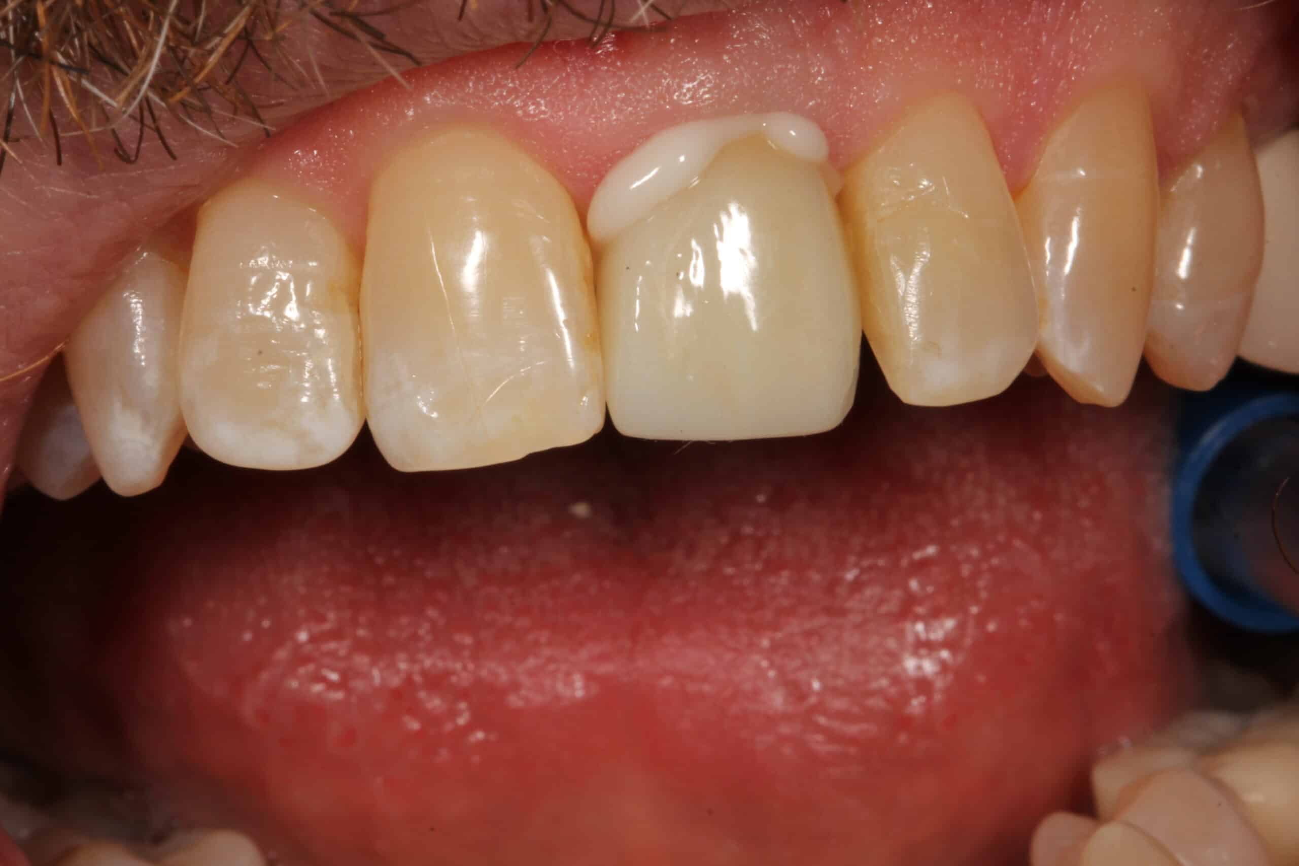
Tooth extraction for a cracked tooth

Not all Cracked or fractured teeth require to be extracted.  At Smile Arts of NY we can save teeth that maybe fractured or broken.  Our dentist will carefully evaluate the condition of your tooth or teeth.   Many fractured teeth can be saved with a crown or a filling.  We may have to do a little work on your gums with our small diode laser. if the tooth fractured under your gum.  A root canal maybe necessary if there’s nerve damage to the tooth.

What Should I Expect during my Tooth Extraction Visit?

First, a dentist must examine the tooth to make sure a dental extraction is the best option.  We’ll take the necessary dental images to evaluate the health of your tooth. 

A dental extraction is usually a quick and painless process.  When a tooth requires an extraction we believe in taking the tooth out painlessly. 

It’s important for the dentist to remove the tooth carefully to preserve bone so it’s easier to have the implant placed at a future date.

Do All Wisdom Teeth Require Extractions?

Not all wisdom teeth need to be extracted.  We can monitor teeth, along with the rest of your dentition by taking digital x-rays to check on the health of your wisdom teeth.   Your dentist can evaluate your wisdom teeth for the presence of tooth decay, infection, or other problems which may require intervention.

Some people can keep their wisdom teeth their entire lives without any issues.  These people even use their wisdom teeth to help them chew food. However, when there are deep cavities present, tooth infection, or gum inflammation (pericoronitis) it may be best to have the wisdom teeth extracted.

Schedule Your Appointment Today

Are Tooth Extractions Painful?

A tooth extraction will get you out of pain. Usually, a tooth extraction is a completely painless procedure. You’re completely numb, so there’s no pain during the procedure, only some pressure is felt.

Contrary to popular belief dentists do not actually “pull teeth.” The tooth is gently nudged with pressure, the ligaments holding the tooth in place give up and the tooth comes out atraumatically.

Our dentists are highly trained to gently extract teeth.   Most tooth extractions are usually performed in just a few minutes or less.

Most people have minimal discomfort following the procedure. Every person is unique, therefore everyone responds differently to a tooth extraction. Since the bone supporting upper wisdom teeth is soft, there’s generally minimal discomfort associated with an upper wisdom tooth extraction.

The bone supporting lower wisdom teeth is very dense and it is common for people to experience some pain and discomfort for a day or two following lower wisdom tooth extraction. Pain medications will be provided to alleviate some of the discomfort associated with a tooth extraction.

Aftercare Instructions Following a Tooth Extraction

We recommend to stick to a soft diet following a tooth extraction and to work your way up as you become more comfortable eating. **Most importantly for the first 24 hours do NOT spit, smoke, or use a straw while drinking.

Once the anesthesia wears off, in about 2 hours, there maybe some post-op pain.  The best medication to take for pain is Advil (Ibuprofen) as needed.   If necessary, the doctor will prescribe antibiotics as well.  The doctor will place sutures if necessary, you may have to return a week later to have the sutures removed.

For the first 24-48 hours the blood clot forming is extremely fragile. Putting pressure on the clot by forcefully spitting, using a straw to drink, or smoking can displace a blood clot.

When a blot clot doesn’t form properly, this is called a dry socket.  A dry socket can be very painful. If you’re having pain 3 days or more following a tooth extraction please see a dentist.

A dry socket is easily treated by placing a medicated dressing over the extraction socket which remedies the pain and discomfort.

Will There be a Hole After A Tooth Extraction?

The gums will heal in just a few (3-4) weeks to completely cover the extraction socket. There may be an unusual sensation in the beginning, but that sensation goes away in just a few days.  Once the gum heals, the hole (tooth socket) disappears as well. 

Will there Be Sutures following a tooth Extraction

Sometimes the dentist will place sutures after a tooth extraction.  However, sutures are often not necessary following a tooth extraction.  Your dentist will advise you at the time of your appointment if suutres will be needed.  In case sutures are placed, you may have to return about a week later to have the sutures removed.

Will I need Antibiotics after a tooth extraction

Antibiotics are not always necessary for a tooth extraction.  In the presence of  a large infection, facial swelling, or an abscess the dentist may decide to prescribe antibiotics to help treat the infection after the tooth removal.   Most of the infection is often removed along with the infected tooth.   Following the tooth extraction your dentist will also manually clean the empty socket and irrigate it with saline.  To be extra cautious antibiotics can be prescribed to kill the rest of the bacteria causing infection.  Some patients will experience a short fever for 12-24 hours and may have swollen lymph nodes as the bacteria spreads after the tooth extraction and the body attempts to fight off the bacteria.

Should the Missing Tooth be replaced with a dental implant?

After a tooth is extracted, other teeth will slowly shift into the empty space.  The movement is very slow and can take a year or more to notice.  Upper teeth will erupt downwards to fill the gap and teeth on either side may lean inwards to take up the space. 

dental implant is generally recommended as the best option to replace a missing tooth.   Usually, a dentist will wait four months for the bone to fill in before placing a dental implant. 

But sometimes the implant can be placed immediately on the same day as the extraction.  A dentist may also recommend a bone graft at the time of the extraction, to facilitate future implant placement

What's the cost of a tooth Extraction in NYC?

The cost of a tooth extraction in NYC can range from $899 to $1,299 depending on the dental office and the difficulty to extract the tooth.   A simple extraction is not as expensive as a surgical extraction for a more difficult tooth.  Fortunately most dental PPO insurance plans cover 80% or 90% of an extraction.  Our insurance experts will help maximize your insurance benefits and minimize your out of pockets expenses.

Do you Offer payment plans for a tooth extraction in NYC?

Yes, we use Care Credit to provide patients with interest free payment plans if they qualify.

Can I use Flex Spending to pay for a tooth extraction?

Yes, we encourage patients to take advantage of payment options provided by their employers.  

What’s the cost for Sedation?

If patient elects to go under sedation the cost may be higher.  All of the extractions done in our office are done just under local anesthesia using Lidocaine.  Our patients do not feel pain and don’t have to go under sedation.  If a patient requires sedation, we refer patients to an excellent oral surgeon who has an anesthesiologist on premises.

the best dentists for your tooth Extraction in NYC

As dentists our passion is to save your teeth.  When a tooth is too damaged to be saved the best option maybe a tooth extraction.  Often a tooth requiring an extraction is causing pain.  Our office is open 7 days a week to treat your dental emergency in NYC.  Our team performs painless tooth extractions on a daily basis.  The tooth extraction procedure itself is painless.  

Schedule Your Appointment Today

What is a Tooth Extraction?

Interested in learning more about tooth extractions?

Download our free E-book that summarizes everything you need to know before getting a tooth extraction.  

Written by a real full time practicing NYC Dentist, 

Dr. Peter Mann.