Free Teeth Whitening Pen

Complimentary Teeth Whitening Pen with your next routine dental visit. Limited time offer!

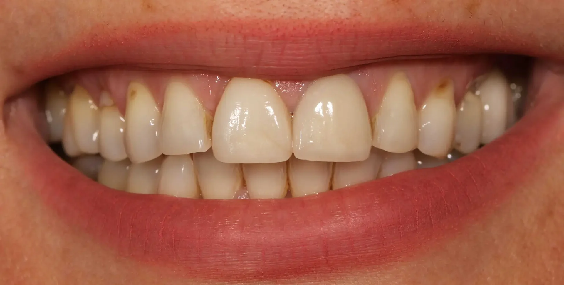
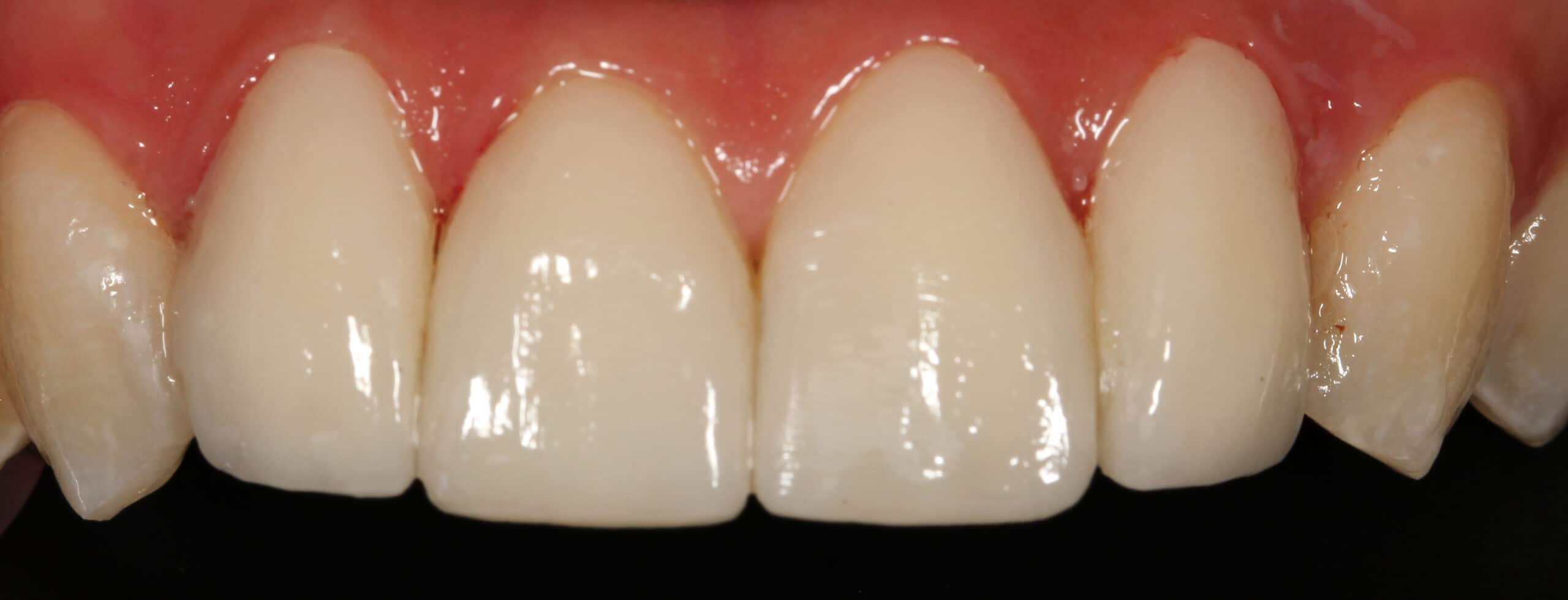
Porcelain Veneers and Crowns Before and After Photos of our Patients

porcelain veneers
broken teeth repaired with vneers
Porcelain Veneers

Porcelain Veneers and porcelain crowns can be used to repair broken, misshapen,  and discolored teeth.  Porcelain veneers are thin shells of ceramic material bonded to the front of the teeth.   Ceramic crowns cover the tooth entirely to provide maximum protection.  Crowns are used when the tooth has suffered a large amount of damage from either cavities or trauma.  Both Veneers and crowns are equally esthetic in appearance and can be used to greatly improve a person’s smile.

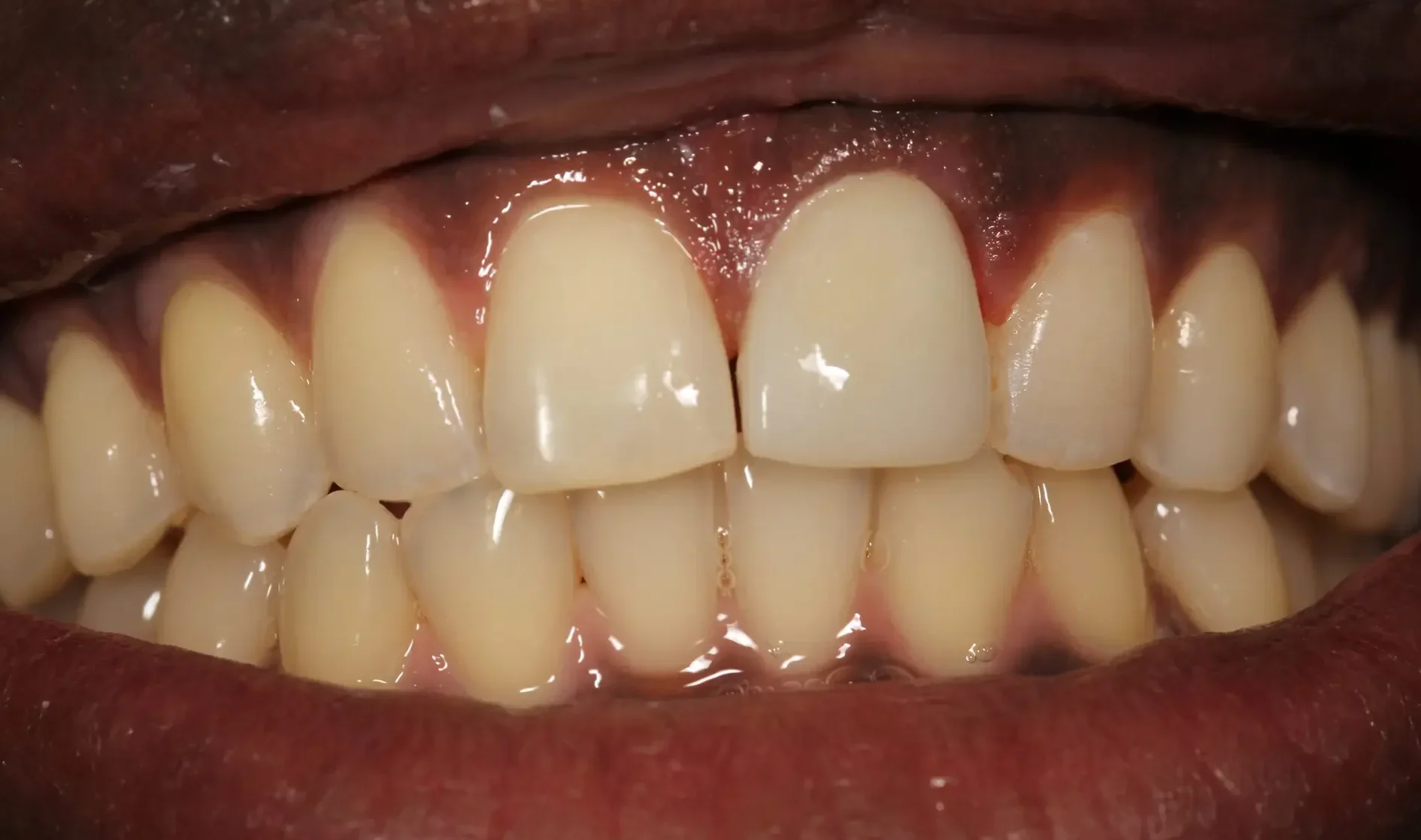
Eight Porcelain Veneers

34  year old female patient wanted to improve her smile.  Her teeth were worn from bruxism and brushing too hard. She wanted for her teeth to be longer again and to be rid of the enamel defects by the gum line.   Eight porcelain veneers were placed on her top teeth. 

Four Veneers transform a smile

 29 year old female patient never liked the uneven gums on her front teeth.  The teeth were also discolored, bonded, and needed improved appearance.  

Using a dental diode laser, the gums were gently reshaped.  With just four porcelain veneers, our patients’ smile was completely transformed.  

Porcelain Veneers for Dark Front Teeth

28 year old female patient was not satisfied with her two front teeth.  One of her front teeth was darker.  Both front teeth were not aligned correctly.  Two beautiful porcelain veneers were fabricated for the front teeth fixing the patient’s concerns with her smile.  

Closing Tooth Gaps with Porcelain Veneers

26 year old female patient wasn’t happy with the gaps between her teeth.  She had tried bonding several times in the past but it always broke off and got discolored.  Four front porcelain veneers were made to give our patient a beautiful natural smile.

Four porcelain front Veneers

25 year old female patient had discolorations on her front teeth because of cavities, bonding, and white sports on her teeth.  We were able to transform her smile with just four porcelain veneers. 

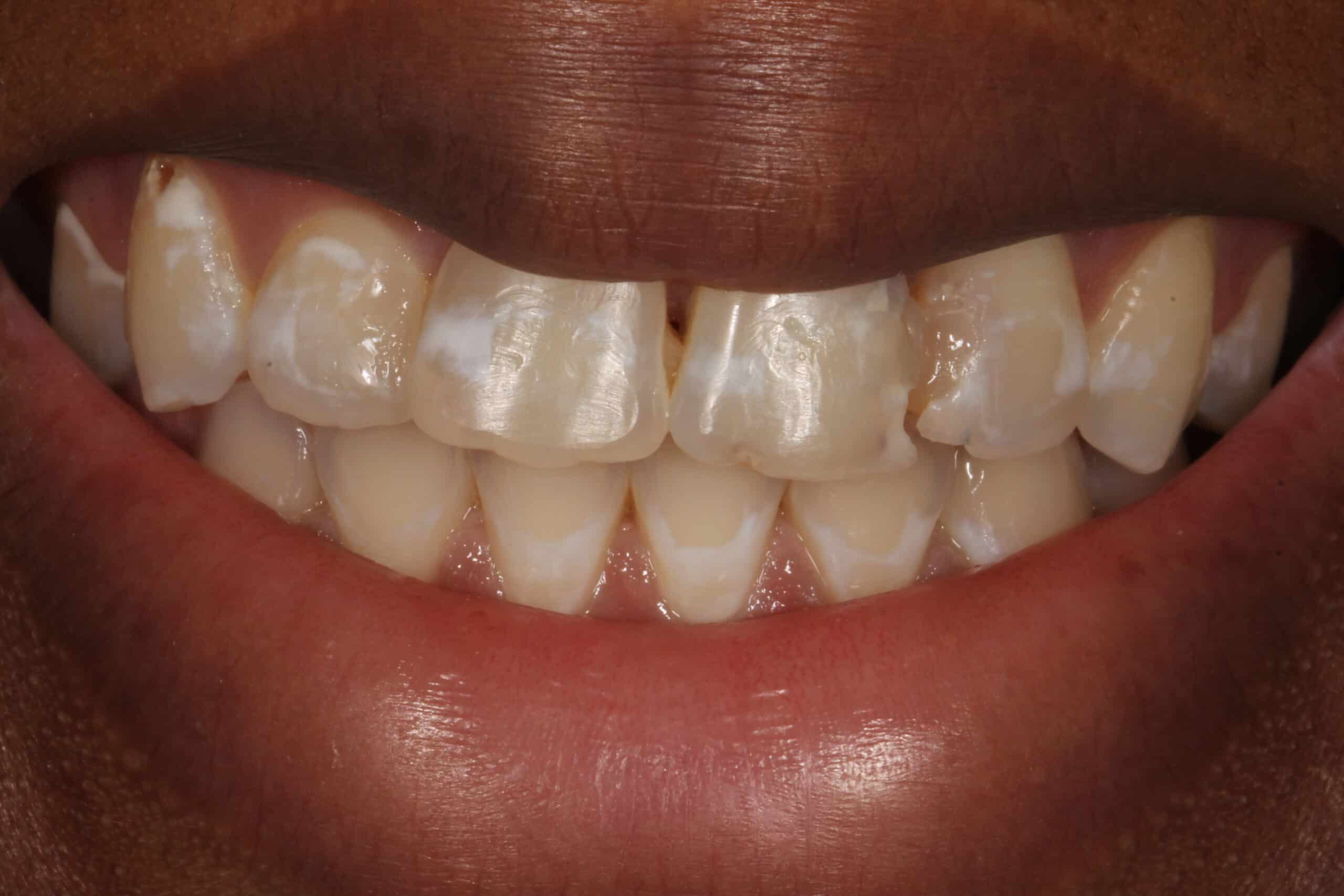
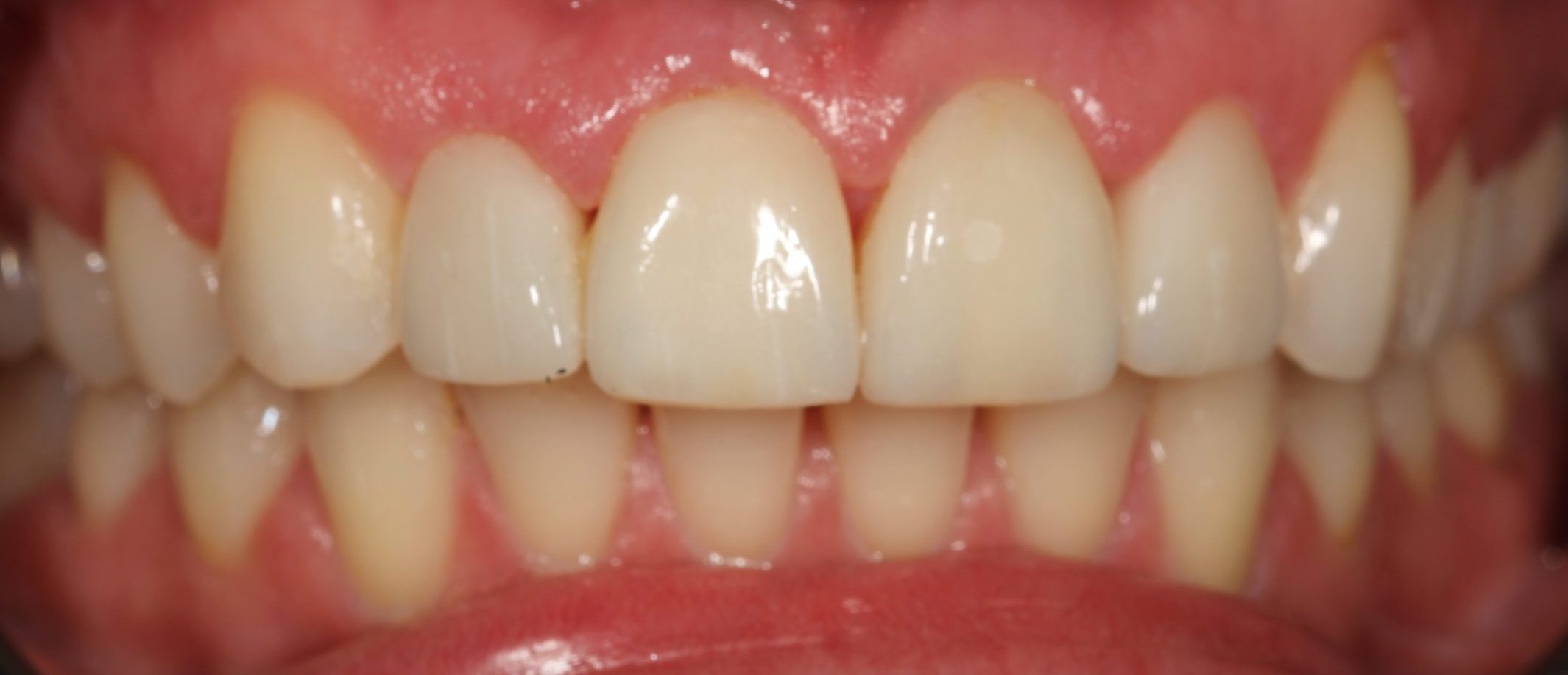
Repairing worn down central incisors with veneers

36 year old male wanted to repair his worn down central veneers.  The teeth got worn down due to teeth grinding in his sleep (bruxism.)  The bonding was regularly breaking.  

The teeth were digitally scanned after they were prepared for veneers.   Two weeks later two beautiful veneers were placed for him.

Four Porcelain Veneers on Front Teeth

Our patient wanted to improve her smile.  She was dissatisfied because her front teeth were too narrow for her smile.  Her teeth were also rotated and did not look even.  With minimal tooth preparation we were able to fabricate four natural looking porcelain veneers. 

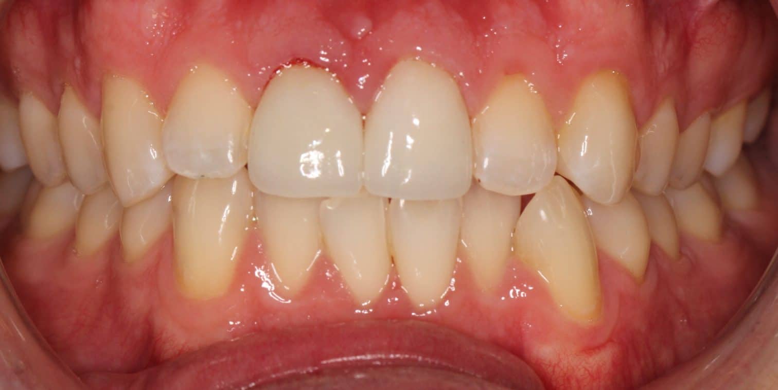
Porcelain Crown to fix a dark front tooth

 In this case the front root canal tooth turned dark. Too large of a gap between teeth, the gum was uneven, and the tooth was too long.  The gum was gently contoured with a laser.  A wax-up confirmed ideal esthetics.  The porcelain crown came out great!

Six Porcelain Veneers on Front Teeth

30 year old female patient wasn’t happy with mismatched colors of bonding on her front teeth.  Her teeth also had a lot of white spots making for a poor appearance.  Patient elected to get six veneers on her front upper teeth.  When getting the teeth ready for veneers all of the old bonding was removed.  Then six porcelain veneers were custom crafted to enhance her smile.

Enhancing bonded teeth with porcelain Veneers

Patient was dissatisfied with the discoloration and chipping of bonding on his front two teeth.  Due to its porous nature bonding is often not the best long term solution for repairs to front teeth.  Porcelain veneers were the ideal way to fix our patient’s smile. 

Fractured Front Tooth Repaired with a porcelain Veneer

These two patients both suffered injury to their front tooth by accidentally being hit with an object.  We were able to make a single veneer to repair the broken front tooth.

Closing gaps on lower teeth with Porcelain Veneers

34 year old male patient dissatisfied with the gaps between lower teeth and the yellow color of his teeth.  A wax-up was made to give the patient a preview.  Patient received six front porcelain veneers on lower incisors.  These veneers look natural and blend well with his smile.

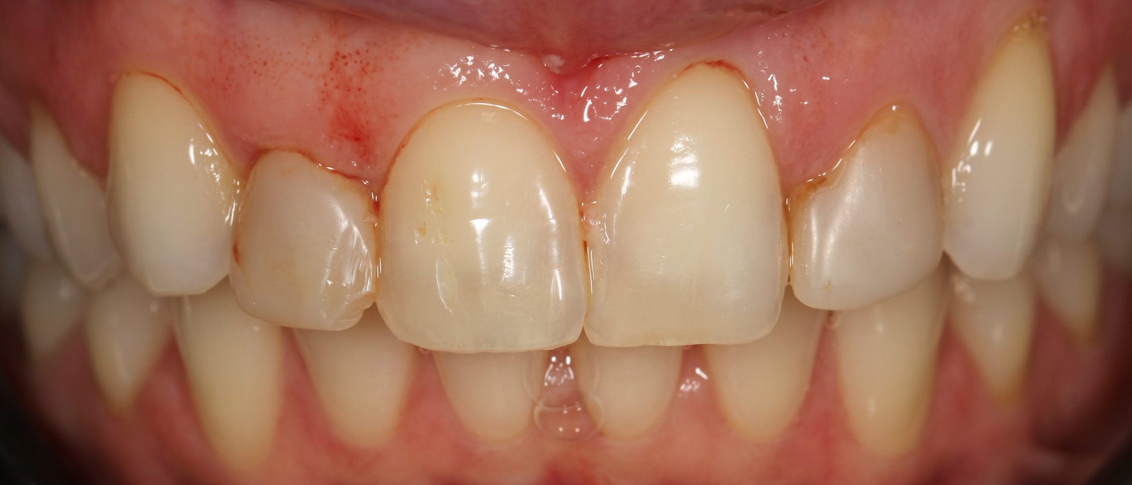
Porcelain Crown Replacement

31 year old male patient was dissatisfied with the old crown on his front tooth due to shape, color, and the tooth root was showing as well.  

To make the shape of the gingiva even for both of his front teeth, a gum contouring procedure was performed with a diode laser.  A new porcelain crown was fabricated to replace the old crown, matching his natural teeth.

Repairing Broken Front Teeth with Porcelain Crowns

29 year old patient was in a bicycle accident.  He fractured two teeth in the collision.  Luckily, there was no nerve damage to these teeth.  Two porcelain crowns were crafted for his upper incisors.  We were able to match the shade of his crowns to match the teeth pretty well.

Porcelain crowns on two front teeth

32 year old female patient had root canals on her front teeth about 15 years prior.  The teeth slowly turned darker over time.  Root canal teeth usually require crowns to keep them from breaking in the future.  Two porcelain crowns were created to keep her teeth strong and beautiful.

Smile Makeover with Veneers and Crowns

49 year old female patient was not satisfied with the shape and color of her teeth.  Many teeth had older discolored bonding.  The teeth were also chipped and had some cracks in them from natural wear and teeth grinding at night.

A combination of porcelain veneers and crowns was used to restore her upper teeth to bring out a beautiful smile. 

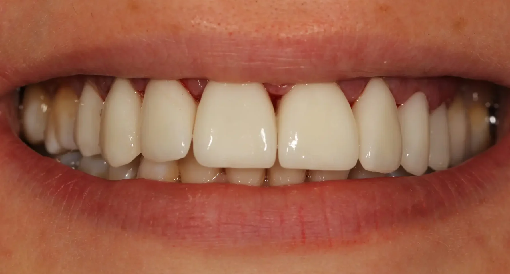
Two Porcelain Crowns on Front Teeth 

Our patient had root canals performed on both of his front teeth due to a childhood injury.  Over time root canal teeth turn darker and become more brittle.  

Dr. Peter Mann placed two new porcelain crowns over the front teeth to improve his cosmetic appearance.

@drpetermann Replacing three old mismatched crowns with new beautiful porcelain crowns. #smilemakeover #cosmeticdentist #nycdentist #porcelaincrowns ♬ Sugar, Sugar - The Archies

Replacing old crowns with new front porcelain crowns

67 year old patient wanted to change out her old crowns to improve the esthetics.  One crown was replaced several years ago when the old one broke.   Patient has been planning on having the other three crowns replaced as well.  We replaced three crowns with Porcelain crowns to create a healthier, younger smile for our patient.  

 

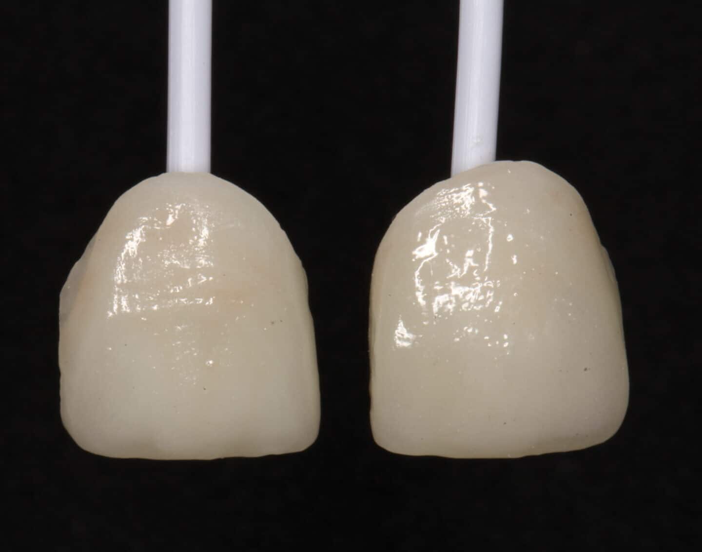
New Emax crowns
fractured crown

Replacing a Fractured Crown

26 year old female patient fractured one of her front crowns.  The crown most likely fractured due to teeth grinding at night.  We replaced both of her front tooth crowns for best esthetics with new Emax crowns.   A night guard was also fabricated to protect our patient’s crowns and teeth.

Fractured Front Tooth Crown

32 year old female patient chipped one of her front crowns.  We replaced both of patient front crowns with porcelain new crowns for a perfect match. 

porcelain crowns
fractured crown