Free Teeth Whitening Pen

Complimentary Teeth Whitening Pen with your next routine dental visit. Limited time offer!

Tooth Extraction Photos

anatomy
Trigeminal Nerve

NYC Dental Office in Manhattan | Tooth Extractions Photos

Welcome to our gallery of teeth extractions that were performed in our office.  These painless tooth extractions were performed under general anesthesia (Just good old numbing with Lidocaine).   During a tooth extraction our patients will feel some pressure but there’s no pain during the procedure.  Patients are then able to leave on their own recognizance to continue their day.  

Teeth are usually extracted because they’re infected or decayed beyond repair.  Most commonly these are wisdom teeth or root canal teeth that have failed.   We are proud to provide this important service to help the our wonderful patients and serve to improve the health of our community.

Infected Upper and lower wisdom teeth Extraction

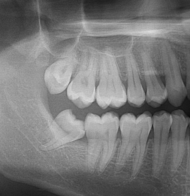
31 year old  male patient was having gum pain around his lower wisdom tooth.  The gum was swelling due to an infected wisdom tooth as was seen on the x-rays.   An emergency dental extraction was performed.  The wisdom teeth roots were very curvy and had to be carefully extracted to avoid a tooth fracture.  Both teeth were painlessly extracted within a few minutes using local anesthesia.  

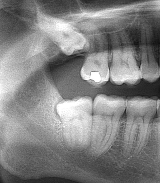
Wisdom tooth close to the Nerve

Patient was having gum swelling and discomfort caused by her lower wisdom tooth.  The wisdom tooth was in close proximity to the Inferior Alveolar Nerve (IAN.)   A 3D scan was taken to make sure the nerve would not be damaged.  The tooth also had very thin roots that could fracture during the extraction.  This wisdom tooth was carefully extracted in our office, avoiding all complications. 

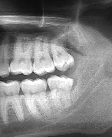
Wisdom Tooth with a cavity

Our patient was having pain due to a deep cavity in the lower wisdom tooth.  His wisdom teeth were too far back for him to brush affectively.  Both the upper and lower wisdom teeth were extracted painlessly.  

Infected wisdom tooth

Our patient had an infected lower wisdom tooth that was causing pain, discomfort, and inability to chew food.  Patient elected just to extract the lower wisdom tooth causing her issues. 

Extraction of Wisdom Teeth

Lower wisdom tooth was infected.  Both the top and bottom teeth on left side were extracted at the same time.  Notice the interesting colors of the teeth.   

Lower Wisdom Tooth causing pain

Lower wisdom tooth was causing our patient gum swelling and discomfort because patient wasn’t able to effectively clean the tooth.   The lower left wisdom tooth was extracted painlessly in our office and the patient recovered well.

Lower Wisdom Teeth

Two lower wisdom teeth were causing discomfort for our patient.  X-ray shows gum infection around the wisdom teeth which caused periodic gum inflammation.  One tooth was sectioned and extracted in pieces.  The second wisdom tooth has a large cavity.  Our patient recovered well after the extractions

Wisdom Teeth Extraction

Patient presented to our NYC Dental Office with pain on the right side.  The lower right wisdom tooth was infected. Both the upper and lower wisdom teeth on the right side were extracted painlessly.  The patient recovered well after the procedure.

Infected wisdom teeth

Our patient was having discomfort caused by the lower wisdom tooth.  A gum infection occurred because it was impossible to clean this wisdom tooth.  Both the upper and lower wisdom teeth were extracted together. 

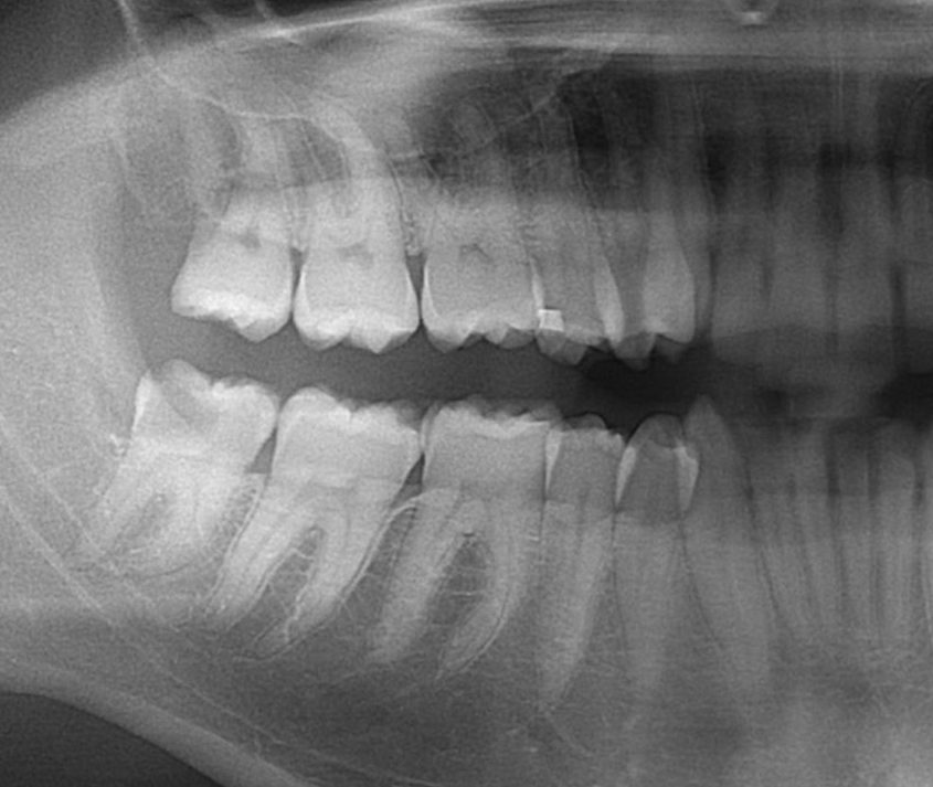
Fractured Pre-molar Tooth

Patient’s  gingiva was very inflamed around his lower pre-molar.  The x-ray reveals a crack in the root causing the infection.  The infected tooth was extracted in our office and the infection cleaned.  The patient will return in six months for placement of dental implant to replace the missing tooth.

Infected Wisdom Tooth

Our patient presented with pain on lower left side of his mouth. .  The lower wisdom tooth was infected due to plaque, food, and bacteria accumulation.  Both, the upper and lower wisdom teeth were successfully extracted and the infected was cleaned.

Wisdom tooth pain

Our patient had severe pain on the left side of his mouth.  The lower wisdom tooth was infected due to plaque, food, and bacteria accumulation.  Both, the upper and lower wisdom teeth were extracted to remove the infection. 

Three Wisdom Teeth Extracted

31 year old male patient was experiencing wisdom tooth pain on his right side.  He elected to have three of his wisdom teeth extracted in one visit.  Only the Lower Left impacted tooth was not extracted.

Infected wisdom teeth

26 year old  male experienced severe pain on his right side.  Pain was due to infection caused by the lower wisdom tooth.     Emergency dental extraction was performed same day on a Saturday.  The teeth were extracted under local anesthesia in our office.  The patient felt much better afterwards.

Infected lower wisdom tooth Extraction

28 year old female patient came crying in pain to our New York dental office.  She had a painful abscess caused by her infected wisdom tooth.  In this case the tooth was impossible for her to keep clean because gum tissue was covering the tooth.  Over a period of time, bacteria build-up as food collected.  This created a dental abscess.  An emergency dental extraction was performed.  Patient immediately felt better as she was anesthetized with Lidocaine.   The wisdom tooth was extracted within a few minutes.  Patient reported a full recovery within a few days.

Lower Wisdom Tooth causing an abscess

30 year old male patient presented on a Saturday with a large swelling around the wisdom tooth on lower left side of his face.  The wisdom tooth causing his gum infection was extracted to allow the area to heal.  Wisdom teeth positioned in this way are difficult to keep clean.  An abscess is created when food stays trapped under the gum for long periods of time

Wisdom Teeth with Cavities

29 year old male patient elected to have his wisdom teeth extracted because they had cavities.  Wisdom teeth are often difficult to clean which can cause cavities.   Sometimes we try to place fillings in wisdom teeth.  Our patient however made the choice to remove his wisdom teeth.   They were extracted in one dental visit.  Patient did not report much discomfort after the procedure.

Wisdom tooth Cavity Causing Pain

28 year old male patient experienced severe pain because a large cavity reached the nerve in his upper wisdom tooth.  Both lower and upper wisdom teeth were extracted in the same appointment.  The lower wisdom tooth was sectioned so it could be removed.

Emergency Wisdom Tooth Extraction

Patient presents for an emergency visit with severe lower wisdom tooth pain and gum swelling.  The Panoramic x-ray revealed a large infection caused by the wisdom tooth.  The upper and lower wisdom teeth were both extracted in our office by Dr. Peter Mann to get the patient out of pain.  

Large cavity in a wisdom tooth

19 year old male patient was complaining of severe tooth pain lasting for days.  The deep cavity in his lower wisdom tooth had reached the nerve of the tooth causing discomfort.  Both the upper and lower wisdom teeth were extracted in the same visit.  The wisdom tooth cavity occurred because the patient wasn’t able to affectively brush his wisdom tooth, since it was too hard to reach in the back of his mouth.

Swollen Gums and Lymph Nodes

33 year old patient had gum pain and swollen lymph nodes on his right side.  The gums around his lower wisdom tooth were inflamed and infected.  Tooth extraction was performed for his upper and lower wisdom teeth.  

Infected Wisdom Tooth

28 year old male patient had a large gum swelling around his lower right wisdom tooth.  Patient had a large abscess caused by food impaction.  Both upper and lower wisdom teeth were extracted on the same visit.  The infection was cleaned and patient was put on antibiotics to help get rid of the infection.

Infected upper Wisdom Tooth

37 year old female patient was experiencing pain  caused by her upper wisdom tooth.  This wisdom tooth was impacted a bit deep, making it impossible for the patient to effectively clean the tooth.  Once the wisdom tooth was removed, the patient recovered well.

Infected upper Wisdom Tooth

28 year old female patient was experiencing pain from her upper wisdom tooth due to gum infection.   Wisdom tooth was extracted in our office.  Patient felt much better afterwards. 

Wisdom tooth with a very long root

Patient was in discomfort due to gum infection in her lower right wisdom tooth.  Patient was very happy to be able to get the tooth extracted same day.  Patient felt no pain after she was anesthetized.  The lower wisdom tooth  with a long root was extracted in our office.

Extracting Infected Wisdom teeth

25 year old male patient was having pain on his left side.  Patient presented to see our emergency dentist, NYC for same day emergency dental treatment.  Panoramic X-ray revealed an infected lower wisdom tooth.  Both the upper and lower wisdom teeth were extracted simultaneously under general anesthesia (lidocaine.)  The patient recovered well following the surgical procedure. 

Extracing two lower wisdom teeth

31 year old female patient was having discomfort in her lower wisdom teeth due to food impaction which caused gum inflammation.  Both bottom wisdom teeth were extracted simultaneously during the same visit using local anesthesia.  Patient left all on her own after the visit. 

Cheek Biting with Wisdom tooth

26 year old female patient was experiencing a lot of pain because her wisdom tooth would bite on the left cheek every time she closed her mouth.  Cheek biting is a problem that can cause severe pain with a wisdom tooth.  The cheek feels very uncomfortable and it becomes hard to chew or swallow until the wisdom tooth is removed.

Upper Wisdom Teeth Elective Extraction

28 year old female patient wanted to pre-emptively extract her upper teeth before they could cause any problems.  The upper wisdom teeth were not serving any purpose since there was no tooth below them to bite on.  These upper wisdom teeth were very hard to clean in the back of the mouth, thus they were prone to future cavities.   Both of the upper wisdom teeth were easily removed in one visit.

Painful lower wisdom tooth

Our patient had a gum infection caused by the lower wisdom tooth.  Patient presented in pain, difficulty opening his mouth, and general discomfort.  Both upper and lower wisdom teeth were extracted simultaneously.  The patient left our office with antibiotics and recovered fully a few days later. 

Infected lower wisdom tooth

29 year old male patient was experiencing gum swelling on his lower left wisdom tooth every few months.  We decided to extract both the upper and lower left wisdom teeth simultaneously when the patient had some time off of work.   Once the wisdom teeth were removed, the infection disappeared forever.

Lower Wisdom Tooth Causing gum inflamation

Patient was experiencing swollen gums around his lower wisdom tooth.  Since it was very difficult to clean the wisdom tooth, food accumulation would cause the gum to become inflamed.  Patient would then bite on the swollen gum causing pain every time he tried to chew.  Both the upper and lower right side wisdom teeth were extracted in one visit.  

Infected lower wisdom tooth

Patient was experiencing recurrent swelling in lower ride side of the jaw.  The swelling was caused by bacterial accumulation behind the lower wisdom tooth.  This kind of infection is called Pericoronitis.  Both upper and lower wisdom teeth were extracted. 

Infected lower wisdom tooth

Patient’s face was very swollen on his lower left side from an infected wisdom tooth.  He came in for a dental emergency visit.  We recommended to remove both top and bottom wisdom teeth together.  The infection was drained and wisdom teeth carefully extracted.  

Infected Bottom wisdom tooth

Patient was having pain due to infection behind his lower right wisdom tooth.  Both the upper and lower wisdom teeth were extracted.  The infection was cleaned.  And the patient was sent home with antibiotics to recover.

Wisdom teeth extracted with heavy calculus

Patient came in for a dental emergency after experiencing gum swelling in the wisdom tooth area, along with jaw pain.  The x-ray revealed an infection in the lower wisdom tooth.  The upper wisdom tooth also showed heavy calculus build-up.  Both wisdom teeth were extracted to allow for the infection to resolve. 

lower wisdom tooth Infection

Patient was experiencing discomfort caused by an infection behind her lower wisdom tooth.  Bacteria accumulated behind the wisdom tooth because the area wasn’t easily cleansable.  Wisdom tooth was extracted along with the infection to allow the area to heal. 

lower wisdom tooth causing pain

Patient was in pain because the lower wisdom tooth was cutting her cheek. The wisdom tooth was easily extracted intact.  (Please note the curvy root on the wisdom tooth.)  Patient was dismissed feeling much better.

Infected wisdom tooth

Patient was having pain caused by gum infection surrounding his lower wisdom tooth (pericoronitis.) His lower wisdom tooth was surgically sectioned and extracted.  The upper wisdom tooth was extracted in one piece.  Patient just needed a few sutures after the procedure.

Infected lower wisdom tooth

Patient was having gum pain because of the gum infection surrounding his lower wisdom tooth (pericoronitis.)  Lower wisdom tooth was extracted in one piece along with the infection

Cheek Biting with Wisdom Teeth

Patient was having  lot of pain because her cheek would get caught between her wisdom teeth every time she’d close her mouth.  Both the upper and lower wisdom teeth were easily extracted.  Patient was once again able to close her mouth after the removal of these two wisdom teeth.

cheek biting wisdom teeth
cheek biting with wisdom teeth

Wisdom tooth cavity

Patient was having pain because of deep cavities in her wisdom tooth.  Once the wisdom tooth was removed patient felt much better.

Deep Tooth Cavity

This second molar created a lot of pain for our patient.  The tooth was extracted painlessly.  Our patient felt much better afterwards.

Large Wisdom Tooth Cavity

Patient was having discomfort due to a large cavity in his lower wisdom tooth.  The cavity reached the nerve causing pain and discomfort.  Both the upper and lower wisdom teeth were painlessly extracted together.  

Upper Wisdom tooth with gum infection

Patient was having discomfort because of the upper wisdom tooth.  Since the patient was missing her lower wisdom tooth, the upper tooth continued erupting creating a trap for food in between teeth.  The bacteria would accumulate in the area causing an infection.  Wisdom tooth was extracted along with the infection, allowing for the gums to heal.

Severe Tooth Decay in lower wisdom tooth

A large cavity in the lower wisdom tooth reached the nerve causing severe tooth pain.  We recommended to extract upper and lower wisdom teeth together.  Lower wisdom tooth needed to be sectioned and the roots extracted separately.  Patient felt much better after her wisdom teeth were extracted.

Extracting Wisdom Teeth With Cavities

Patient came to our dental office after experiencing  pain for 3 days.  Two of his wisdom teeth had deep cavities extending to the nerves inside of the wisdom teeth.  He was simultaneously experiencing tooth pain from Upper left and lower left wisdom teeth.  The teeth were quickly and painlessly extracted.  Patient felt much relief after the tooth extractions

Wisdom tooth causing gum abscess

Patient came in with a gum abscess because of the bacteria living behind the lower wisdom tooth.  Both upper and lower wisdom teeth were extracted at the same time.  The infection was removed along with the wisdom tooth. 

Lower Wisdom tooth with Severe infection

21 year old female patient came in with a lot of pain, she couldn’t even open her mouth much due to pain and swelling caused by her lower wisdom tooth.  Once the patient was anesthetized, the pain went away, and she could once again open her mouth fully.  Both upper and lower wisdom teeth on her right side were extracted to allow for the infection to heal.  She was also placed on antibiotics for a week as a precaution.

Lower Wisdom tooth causing Gum inflammation

24 year old female patient was having pain due to food impaction behind her lower left wisdom tooth.   Since this area was impossible to clean, the best course of treatment was wisdom tooth extraction.  Both the upper and lower wisdom teeth were removed.  Patient also had a cavity in her molar which was filled prior to the tooth extraction.

Wisdom Tooth Causing Gum Infection

Patient was having gum pain caused by food hiding behind his wisdom tooth.  The wisdom tooth was extracted, after which the patient felt much better.

Baby Tooth with a Large Cavity

12 year old patient was experiencing severe tooth pain from this deep cavity in his baby molar tooth.   Usually these teeth exfoliate at 12 years of age, but this one didn’t look like it was going to come out on its own any time soon.  The 12 year old boy was anesthetized and the baby molar was extracted with the deep cavity.  He felt much relief afterwards.

Wisdom tooth with a deep cavity

Patient was experiencing severe tooth pain from this deep cavity.  The upper wisdom tooth erupted because of the missing lower tooth.  For this reason we normally recommend to extract the upper and lower wisdom tooth at the same visit.   When the wisdom tooth erupts too far down it becomes harder to clean well between teeth.  This large cavity was caused by excessive food entrapment for long periods of time.  Patient felt much better after the wisdom tooth extraction

Super-erupted Molar with Cavity

Teeth continuously try to erupt through our life time.  However, every time we bite our teeth are prevented from erupting.  This second molar was missing an opposing tooth too keep if from erupting downwards.  As the tooth erupted more food got stuck between teeth until a cavity formed.  The molar was pre-emptively extracted before the cavity reached the nerve inside the tooth, which would have resulted in significant pain.

Super-erupted Upper wisdom tooth

Patient’s upper wisdom tooth was erupting into his cheek causing discomfort.  The upper wisdom tooth was quickly and painlessly extracted under local anesthesia in our NYC dental office.

Extracted an infected upper wisdom tooth

Patient had swollen gum around her upper wisdom tooth because of food getting stuck in the gums.  The upper wisdom tooth was extracted, the gum healed well afterwards.  Patient did not experience much discomfort during or after the procedure. 

Wisdom teeth Cavities

Patient was having pain on right side caused by wisdom teeth cavities.  Both the upper and lower wisdom teeth had deep cavities.  The lower wisdom tooth was surgically extracted by splitting the tooth into several pieces.   The upper wisdom tooth was extracted intact.

Large Cavity in Second Molar

Patient was having pain in her second molar because a large cavity has reached the nerve. She decided against saving the tooth with a root canal and crown.  instead the tooth with the large cavity was extracted.

Wisdom Tooth with a large cavity

Patient was having pain in his upper right wisdom tooth due to a large cavity.  The tooth was easily extracted.  Our patient made a quick recovery after the procedure.

First Molar with severe tooth decay

Patient was having excruciating pain due to deep tooth decay in his upper left first molar. Patient elected not to save the tooth with a root canal.  The molar was painlessly extracted and our patient left feeling much better.

Wisdom Tooth with Cavities

Patient’s lower wisdom tooth developed deep cavities. This happens because wisdom teeth can be very hard to keep clean.  many people struggle reaching all the way back with a tooth brush for proper wisdom tooth maintenance.  The wisdom tooth was extracted along with the tooth cavity.

Extraction of infected tooth

This second molar was causing pain to our patient due to an infection. Root canal specialist (endodontist) could not successfully locate the canals due to calcifications in the canals. The only way to treat this infection was with a tooth extraction

Wisdom Tooth cutting patient's cheek

Patient was having pain because her upper right wisdom tooth was cutting into her cheek.  The wisdom tooth was erupting sideways into the cheek.  The wisdom tooth was extracted to allow her cheek to heal

Wisdom Tooth with cavities cutting patient's cheek

Patient was having pain because her upper right wisdom tooth was cutting into her cheek.  The wisdom tooth also had a cavities which would cause problems later on if left in the mouth.  The wisdom tooth was quickly extracted.  The patient reported no pain the following day.

Large Cavity in Molar

Patient was having severe pain because a large tooth cavity had reached the nerve in his molar.   The tooth was extracted for our patient to get immediate pain relief.

Two extracted wisdom teeth with cavities

Patient was experiencing pain because of deep decay in her upper wisdom tooth.  Her lower wisdom tooth had cavities as well.  Both of her wisdom teeth were successfully extracted in one visit.

Sensitive Content.

This photo contains sensitive content of an extracted tooth.

Upper wisdom tooth with decay

Upper left wisdom tooth had decay because it was so difficult for our patient to keep clean.  Patient decided it would be best to extract the tooth before it started to hurt.  Tooth was extracted in one piece. 

Sensitive Content.

This photo contains sensitive content of an extracted tooth.

Sensitive Content.

This photo contains sensitive content of an extracted tooth.

Upper wisdom tooth Extracted

Patient (32 yr old female) was experiencing discomfort because her upper left wisdom tooth was growing into her cheek.  The wisdom tooth was extracted without any complications.  

Sensitive Content.

This photo contains sensitive content of an extracted tooth.

Two Upper Wisdom teeth Extracted

35 year old patient was having discomfort because his upper wisdom teeth were causing gum irritation as they continuously erupted.  Upper wisdom teeth will erupt until they hit the gum of the lower jaw, if the lower wisdom teeth are missing.  

Sensitive Content.

This photo contains sensitive content of an extracted tooth.

Lower wisdom tooth with cavity

30 year old male patient had a deep cavity in his lower wisdom tooth.  The wisdom tooth is very hard to keep clean because it’s very far in the back of his mouth. We recommended to extract this wisdom tooth.  It would not make sense to save this tooth because there’s a high likelihood of developing another cavity in the future.   Tooth was extracted in our office without any complications.

Upper Wisdom tooth was causing gum pain

Patient was having discomfort due to food impaction caused by upper right wisdom tooth.  The tooth also was getting cavities due to the inability to maintain cleanliness in this area.  Tooth was extracted quickly and efficiently.  Upper wisdom tooth usually don’t cause significant discomfort after the extraction is performed.

Sensitive Content.

This photo contains sensitive content of an extracted tooth.

Sensitive Content.

This photo contains sensitive content of an extracted tooth.

Upper left wisdom tooth extraction

Patient was feeling pain due to a severely decayed wisdom tooth on his upper left.  Patient was anesthetized and his decayed wisdom tooth removed in one piece.

Extracting Wisdom teeth With Curvy Roots

Patient was feeling discomfort due to decay in his wisdom teeth.  Both upper and lower left were extracted under local anesthesia.   Roots were extremely curvy in this particular patient.

Sensitive Content.

This photo contains sensitive content of an extracted tooth.

lower wisdom tooth

Sensitive Content.

This photo contains sensitive content of an extracted tooth.

upper wisdom Tooth

Sensitive Content.

This photo contains sensitive content of an extracted tooth.

sectioned lower wisdom tooth

Two Wisdom teeth Extractions

Patient had deep cavities in his upper and lower wisdom teeth on his right side.  Lower wisdom tooth was split in half and carefully elevated.  Upper wisdom tooth came out in one piece.  The extractions were not painful, patient was fully awake, and numb so not to feel any pain.

Extraction of Infected Root canal Molar Tooth

Patient’s root canal treated lower molar was extremely infected causing discomfort and pain.  Tooth was extracted in two pieces.  Infected was cleaned out.  The patient will be able to get a dental implant to replace the missing tooth in another 4-6 months.

Sensitive Content.

This photo contains sensitive content of an extracted tooth.

Sensitive Content.

This photo contains sensitive content of an extracted tooth.

lower wisdom tooth

Lower wisdom tooth causing gum pain extracted

Patient was having severe gum pain.  Since it was very difficult to clean behind the tooth, food has been accumulating allowing bacteria to invade the area.  Lower wisdom tooth was extracted and the infected area was cleaned well.  Patient will be able to maintain hygiene in the area much better without the wisdom tooth.

Infected Wisdom Teeth

29 year old male patient complains of discomfort from his upper wisdom tooth.  The Panoramic x-ray shows deep cavities extending to the nerve inside of the wisdom tooth.  The lower wisdom tooth has a dark area behind it where bacteria resides indicating pericoronitis (gum infection.) Both of these wisdom teeth were removed atraumatically in the same visit.

Sensitive Content.

This photo contains sensitive content of an extracted tooth.

Sensitive Content.

This photo contains sensitive content of an extracted tooth.

Extraction of Failed Molar with a Root Canal

33 year old male patient presents complaining of a bump (a draining fistula) on the side of his gum.  The source of infection was traced and a x-ray was taken to determine the infection was from a failed molar root canal.  The tooth was evaluated by an Endodontist, to determine that it could not be saved.

Patient was referred to see a periodontist, Dr. Scott Froum for the tooth extraction.  Because a bone graft would be needed to prepare this site for a future dental implant.  

Infected Root Canal Tooth Extracted

Patient was suffering with pain on biting on this root canal tooth.  X-ray shows dark areas around the roots signifying a large infection in the tooth.  Tooth was sectioned in two pieces which were then extracted.  The infection was cleaned out and patient left the office feeling better.  A dental implant can be placed in 4-6 months to replace the missing second molar.

Sensitive Content.

This photo contains sensitive content of an extracted tooth.

Sensitive Content.

This photo contains sensitive content of an extracted tooth.

Pericoronitis lower wisdom tooth

Patient was having severe pain in lower left quadrant.  He was given antibiotics over the weekend by an emergency dentist.  The antibiotics did not provide much relief.  Food being trapped under the gum caused pericoronitis, a common infection around wisdom teeth.  The wisdom tooth was extracted, the extraction site cleaned, and two sutures were placed.  

Upper wisdom tooth with Decay

Patient was not having any discomfort.  The upper wisdom tooth had significant decay.  Extraction was recommended since patient was having trouble keeping the tooth clean.  Placing a filling would be nearly impossible that far back and tooth decay would likely return.  A wisdom tooth extraction was performed.

Sensitive Content.

This photo contains sensitive content of an extracted tooth.