Free Teeth Whitening Pen

Complimentary Teeth Whitening Pen with your next routine dental visit. Limited time offer!

professional Teeth Whitening Before & After Photos

Kaboom Teeth Whitening! In NYC

Kaboom! Professional teeth whitening is one of our favorite cosmetic dental treatments. It’s amongst the least invasive and safest cosmetic dental treatments you can have done.

The results are instantaneous and the entire process only takes about an hour. The procedure is painless but some patients may experience tooth sensitivity for up to 48 hours.  Visit our comprehensive guide on teeth whitening for more information

teeth whitening New York

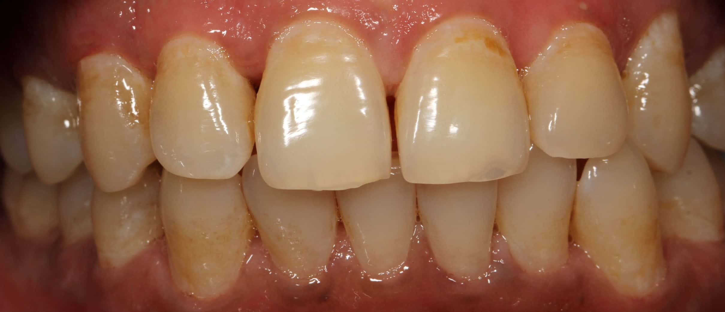
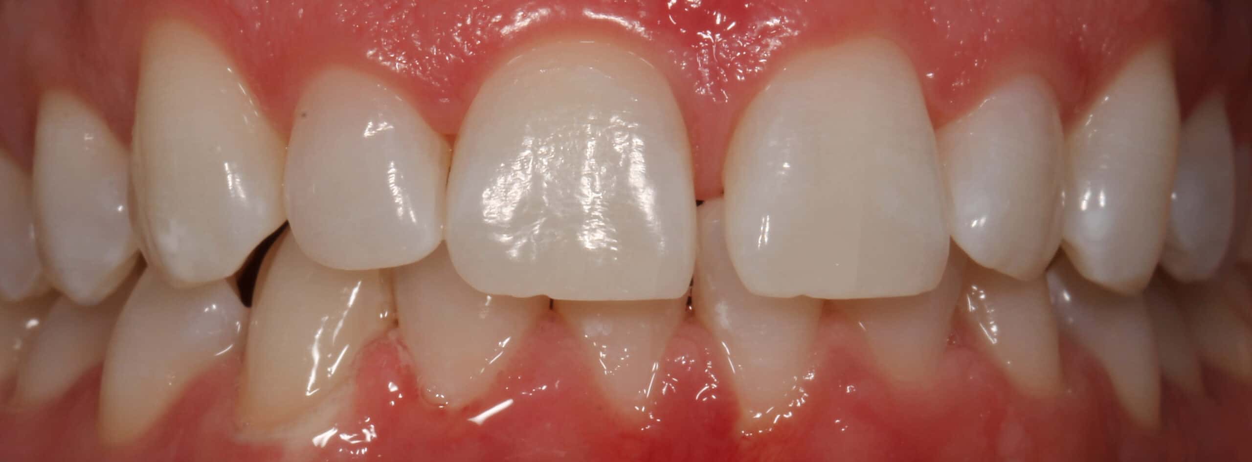
8 shades Lighter after Teeth Whitening

26 year old female patient got 8 shades lighter after the Kaboom Teeth whitening procedure in our office.

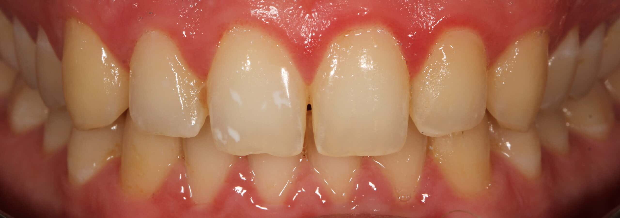
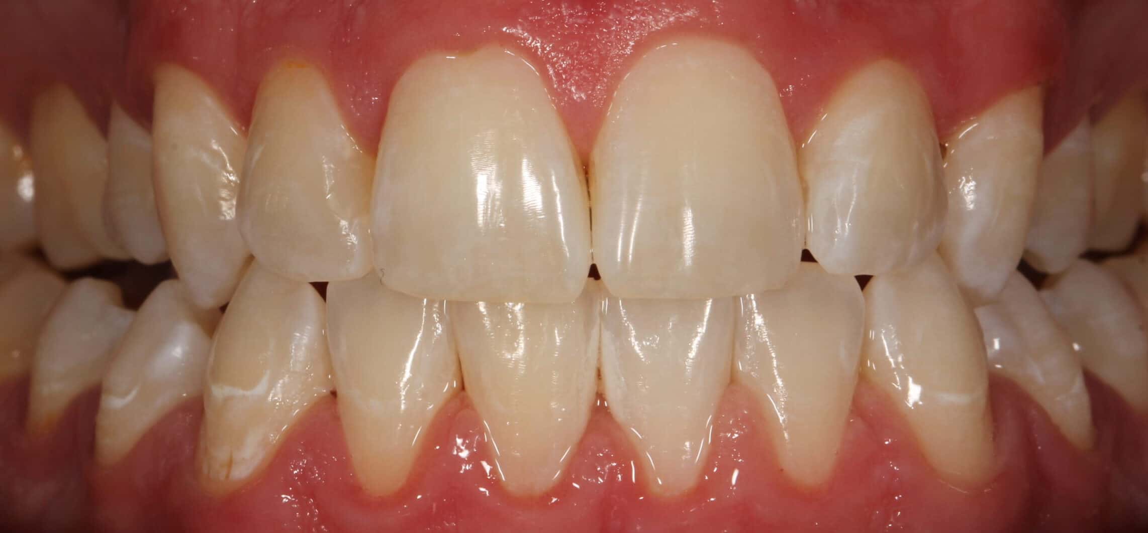
4 shades Lighter after Teeth Whitening

48 year old male patient removed years of stains from his teeth with Kaboom teeth Whitening.  His teeth got 4 shades lighter after the whitening treatment

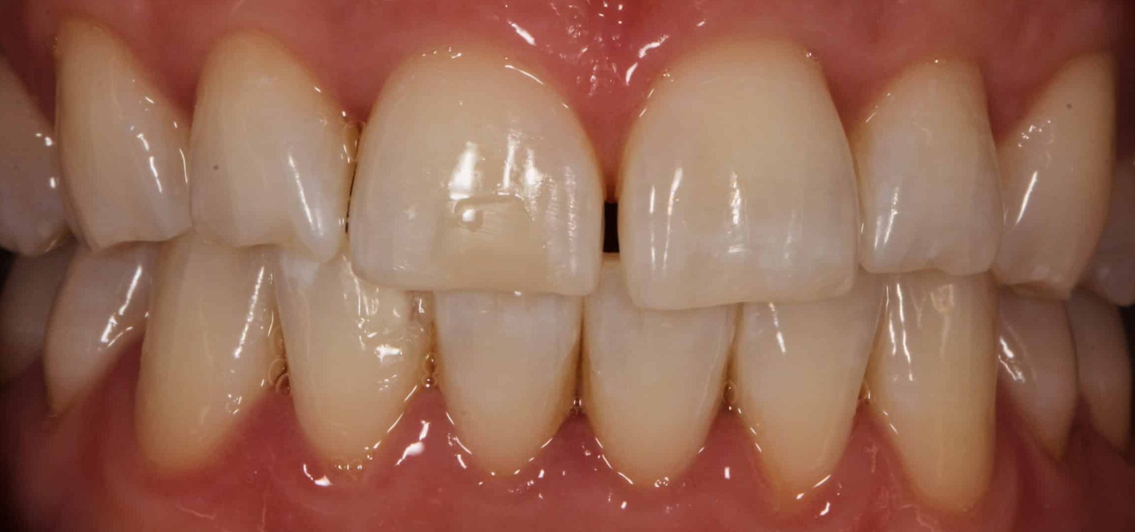
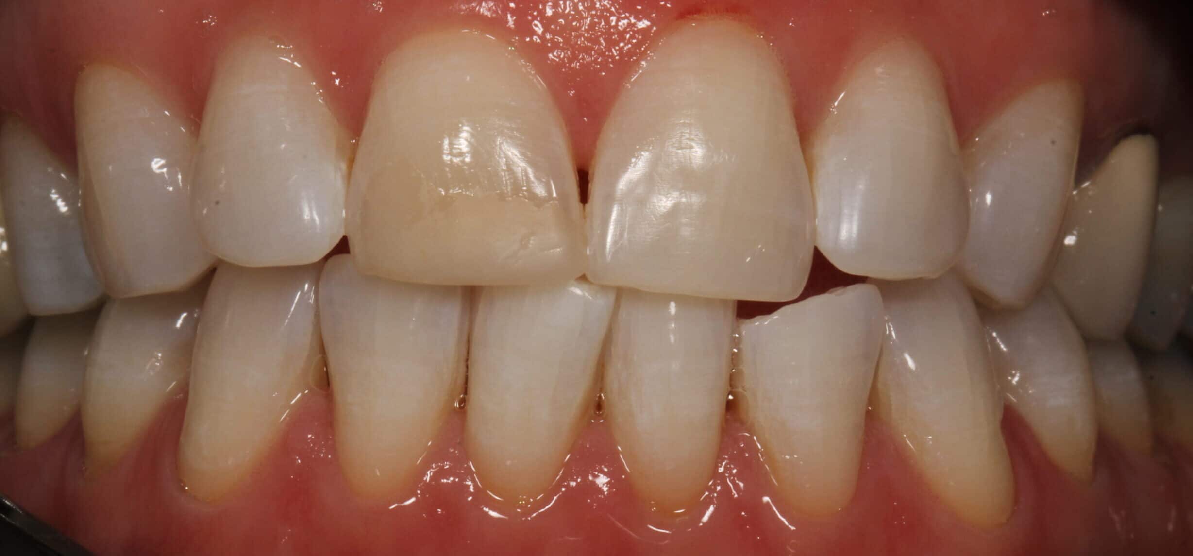
6 shades Lighter after Teeth Whitening

39 year old male patient removed years of stains from his teeth with Kaboom teeth Whitening.  His teeth got 6 shades lighter after the whitening treatment

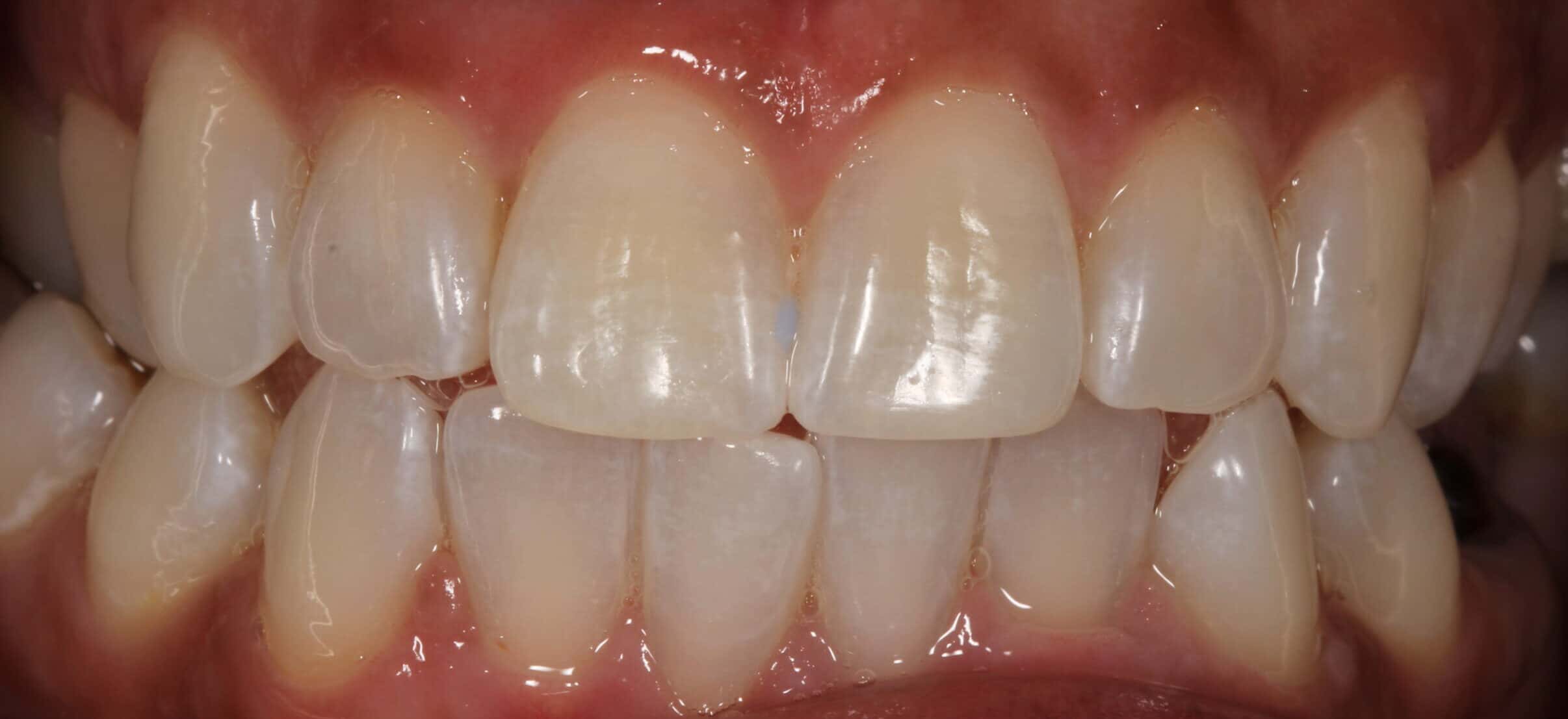
4 shades Lighter after Teeth Whitening

28 year old male patient got 4 shades lighter after the Kaboom Teeth whitening procedure in our office.

4 shades Lighter after Teeth Whitening

41 year old male patient removed years of stains from his teeth with Kaboom teeth Whitening.  His teeth got 4 shades lighter after the whitening treatment

8 shades Lighter after Teeth Whitening

30 year old male patient removed years of stains from his teeth with Kaboom teeth Whitening.  His teeth got 8 shades lighter after the whitening treatment

8 shades Lighter after Teeth Whitening

32 year old male patient got 8 shades lighter after the Kaboom Teeth whitening procedure in our office.

6 shades Lighter after Teeth Whitening

26 year old female patient removed years of stains from her teeth with Kaboom teeth Whitening.  Her teeth got 6 shades lighter after the whitening treatment

4 shades Lighter after Teeth Whitening

36 year old male patient removed years of stains from his teeth with Kaboom teeth Whitening.  His teeth got 4 shades lighter after the whitening treatment

10 shades Lighter after Teeth Whitening

36year old male patient got 10 shades lighter after the Kaboom Teeth whitening procedure in our office.

4 shades Lighter after Teeth Whitening

49 year old male patient removed years of stains from his teeth with Kaboom teeth Whitening.  His teeth got 4 shades lighter after the whitening treatment

4 shades Lighter after Teeth Whitening

19 year old male patient removed years of stains from his teeth with Kaboom teeth Whitening.  His teeth got 4 shades lighter after the whitening treatment

6 shades Lighter after Teeth Whitening

34 year old male patient got 6 shades lighter after the Kaboom Teeth whitening procedure in our office.

6 shades Lighter after Teeth Whitening

29 year old male patient removed years of stains from his teeth with Kaboom teeth Whitening.  His teeth got 6 shades lighter after the whitening treatment

4 shades Lighter after Teeth Whitening

26 year old female patient removed years of stains from her teeth with Kaboom teeth Whitening.  Her teeth got 4 shades lighter after the whitening treatment

8 shades Lighter after Teeth Whitening

44 year old female patient came in for a dental cleaning and teeth whitening.  She left our office with clean teeth and 8 shades lighter with Kaboom Teeth Whitening treatment.

6 shades Lighter after Teeth Whitening

29 year old male patient removed years of stains from his teeth with Kaboom teeth Whitening.  His teeth got 6 shades lighter after the whitening treatment

4 shades Lighter after Teeth Whitening

28 year old female patient removed years of stains from her teeth with Kaboom teeth Whitening.  Her teeth got 4 shades lighter after the whitening treatment

8 shades Lighter after Teeth Whitening

33 year old male patient improved his teeth by 8 shades with the Kaboom Teeth in-office whitening procedure.

6 shades Lighter after Teeth Whitening

44 year old female patient removed years of stains from her teeth with Kaboom teeth Whitening. Her teeth got 6 shades lighter after the whitening treatment

4 shades Lighter after Teeth Whitening

22 year old female patient removed years of stains from her teeth with Kaboom teeth Whitening.  Her teeth got 4 shades lighter after the whitening treatment

10 shades Lighter after Teeth Whitening

28 year old female patient improved her teeth by 10 shades with the Kaboom Teeth in-office whitening procedure.

10 shades Lighter after Teeth Whitening

57 year old male patient removed years of stains from her teeth with Kaboom teeth Whitening.  His teeth got 10 shades lighter after the whitening treatment

6 shades Lighter after Teeth Whitening

34 year old female patient removed years of stains from her teeth with Kaboom teeth Whitening.  Her teeth got 6 shades lighter after the whitening treatment

6 shades Lighter after Teeth Whitening

34 year old female male patient was able to remove teeth stains with  Kaboom! whitening procedure, which helped her achieve results of 6 shades lighter.

8 shades Lighter after Teeth Whitening

28 year old male patient removed years of stains from her teeth with Kaboom teeth Whitening.  His teeth got 8 shades lighter after the whitening treatment

6 shades Lighter after Teeth Whitening

34 year old female patient removed years of stains from her teeth with Kaboom teeth Whitening.  Her teeth got 6 shades lighter after the whitening treatment

6 shades Lighter after Teeth Whitening

32 year old female male patient was looking to remove stains from her teeth.   Kaboom! whitening procedure helped her achieve results of 6 shades lighter.

8 shades Lighter after Teeth Whitening

33 year old male patient removed years of stains from her teeth with Kaboom teeth Whitening.  His teeth got 8 shades lighter after the whitening treatment

6 shades Lighter after Teeth Whitening

34 year old female patient removed years of stains from her teeth with Kaboom teeth Whitening.  Her teeth got 6 shades lighter after the whitening treatment

6 shades Lighter after Teeth Whitening

45 year old male male patient was hoping  to remove stains from his teeth.   Kaboom! whitening procedure helped him achieve results of 6 shades lighter.

6 shades Lighter after Teeth Whitening

24 year old female patient removed years of stains from her teeth with Kaboom teeth Whitening.  Her teeth got 6 shades lighter after the whitening treatment

10 shades Lighter after Teeth Whitening

34 year old female patient removed years of stains from her teeth with Kaboom teeth Whitening.  Her teeth got 10 shades lighter after the whitening treatment

6 shades Lighter after Teeth Whitening

28 year old female male patient was looking to remove stains from her teeth.   Kaboom! whitening procedure helped her achieve results of 6 shades lighter.

4 shades Lighter after Teeth Whitening

26 year old female patient removed years of stains from her teeth with Kaboom teeth Whitening.  Her teeth got 4 shades lighter after the whitening treatment

8 shades Lighter after Teeth Whitening

58 year old female patient removed years of stains from her teeth with Kaboom teeth Whitening.  Her teeth got 8 shades lighter after the whitening treatment

6 shades Lighter after Teeth Whitening

39 year old female male patient was looking to remove years of coffee stains from her teeth.   Kaboom! whitening procedure helped her achieve results of 6 shades lighter.

8 shades Lighter after Teeth Whitening

37 year old male patient removed years of stains from his teeth with Kaboom teeth Whitening.  His teeth got 8 shades lighter after the procedure.

6 shades Lighter after Teeth Whitening

25 year old female patient got 6 shades lighter after Kaboom! teeth whitening.  

10 shades Lighter after Teeth Whitening

45 year old male male patient was looking to remove years of coffee stains from his teeth. Patient does have white spots on his teeth.  Kaboom! whitening procedure helped him achieve results of 10 shades lighter.

8 shades Lighter after Teeth Whitening

35 year old male patient removed years of stains from his teeth with Kaboom teeth Whitening.  His teeth got 8 shades lighter after the procedure.

6 shades Lighter after Teeth Whitening

34 year old female patient got 6 shades lighter aAfter Kaboom! teeth whitening  without any sensitivity.  

teeth whitening in New York

12 shades Lighter after Teeth Whitening

Young female patient was looking to rejuvenate her smile.  Kaboom! whitening procedure helped her achieve results of 12 shades lighter.

Teeth Whitening before and after image

6 shades Lighter after Teeth Whitening

32 year old male got 6 shades lighter after Kaboom! Teeth Whitening.

teeth whitening New York

8 shades Lighter after Teeth Whitening

26 year old female patient drinks a cup of coffee every morning.  After Kaboom! whitening  she got her teeth 8 shades lighter in just one hour.

Teeth Whitening before and after photo

10 shades Lighter after Teeth Whitening

Patient disliked the yellow hue her teeth were developing from drinking coffee and tea.  She got 10 shades lighter after Kaboom! whitening.

Teeth Whitening before and after photo

8 shades Lighter after Teeth Whitening

Patient noticed his teeth getting yellow over time.  He got 8 shades lighter in a single visit with Kaboom! teeth Whitening.

Teeth Whitening before and after photo

6 shades Lighter after Teeth Whitening

39 year old male patient wanted to rejuvenate his smile.  He got 6 shades lighter in one visit with Kaboom! teeth whitening.

Teeth Whitening before and after photo

12 shades Lighter after Teeth Whitening

29 year old heavy coffee drinker noticed his teeth becoming too yellow.  He was able to get 12 shades lighter in one visit with Kaboom! teeth whitening. 

Teeth Whitening before and after photo

6 shades Lighter after Teeth Whitening

21 year old male was able to get 6 shades lighter after one teeth whitening visit.

Teeth Whitening before and after photo

12 shades Lighter after Teeth Whitening

24 year old female patient got 12 shades lighter in one teeth whitening visit. 

Teeth Whitening before and after photo

6 shades Lighter after Teeth Whitening

27 year old male patient got 6 shades lighter after Kaboom! in-office teeth whitening treatment.

Teeth Whitening before and after photo

16 shades Lighter after Teeth Whitening

23 year old female patient was able to get 16 shades lighter in one visit with Kaboom! in-office teeth whitening.

teeth whitening New York

12 shades Lighter after Teeth Whitening

26 year old female patient got 12 shades lighter after one hour appointment with Kaboom! teeth whitening. 

Teeth Whitening before and after photo

6 shades Lighter after Teeth Whitening

29 year old male patient got 6 shades lighter after Kaboom! in-office teeth whitening treatment.

before and after teeth whitening

16 shades Lighter after Teeth Whitening

44 year old male patient who is a heavy coffee drinker got his teeth 16 shades lighter after Kaboom! in-office teeth whitening.

Teeth Whitening before and after photo

6 shades Lighter after Teeth Whitening

31 year old female patient got 6 shades lighter after one hour appointment with Kaboom! teeth whitening. 

Teeth Whitening before and after photo

12 shades Lighter after Teeth Whitening

44 year old male patient got 12 shades lighter after Kaboom! in-office Teeth Whitening treatment.

Teeth Whitening before and after photo

12 shades Lighter after Teeth Whitening

29 year old female patient got 12 shades lighter after Kaboom! in-office teeth whitening procedure.

Teeth Whitening before and after photo

8 shades Lighter after Teeth Whitening

54 year old male patient got 8 shades lighter after one hour appointment with Kaboom! teeth whitening. 

Teeth Whitening before and after photo

8 shades Lighter after Teeth Whitening

28 year old female patient got 8 shades lighter after Kaboom! in-office Teeth Whitening treatment.

Teeth Whitening before and after photo

12 shades Lighter after Teeth Whitening

29 year old male patient got 12 shades lighter after Kaboom! in-office teeth whitening procedure.

Teeth Whitening before and after photo

8 shades Lighter after Teeth Whitening

32 year old male patient got 8 shades lighter after one hour appointment with Kaboom! teeth whitening. 

10 shades Lighter after Teeth Whitening

24 year old female patient got 10 shades lighter after Kaboom! in-office Teeth Whitening treatment.

Teeth Whitening before and after photo

6 shades Lighter after Teeth Whitening

23 year old male patient got 6 shades lighter after Kaboom! in-office teeth whitening procedure.

Teeth Whitening before and after photo

4 shades Lighter after Teeth Whitening

22 year old male patient got 4 shades lighter after one hour appointment with Kaboom! teeth whitening. 

Teeth Whitening before and after photo

6 shades Lighter after Teeth Whitening

29 year old male patient got 6 shades lighter after Kaboom! in-office Teeth Whitening treatment.

Teeth Whitening before and after photo

6 shades Lighter after Teeth Whitening

23 year old male patient got 6 shades lighter after Kaboom! in-office teeth whitening procedure.

Teeth Whitening before and after photo

4 shades Lighter after Teeth Whitening

28 year old male patient got 4 shades lighter after one hour appointment with Kaboom! teeth whitening. 

Teeth Whitening before and after photo

4 shades Lighter after Teeth Whitening

25 year old female patient got 4 shades lighter after Kaboom! in-office Teeth Whitening treatment.

Teeth Whitening before and after photo

6 shades Lighter after Teeth Whitening

27 year old male patient got 6 shades lighter after Kaboom! in-office teeth whitening procedure.

Teeth Whitening before and after photo

6 shades Lighter after Teeth Whitening

32 year old male patient got 6 shades lighter after one hour appointment with Kaboom! teeth whitening. 

Why Choose Smile Arts of NY for Teeth Whitening?

Smile Arts of NY has performed thousands of professional teeth whitening treatments in the last decade. This vast experience in teeth whitening has made us an expert team of professionals.

Most dental offices perform just a handful of teeth whitening procedures per month. Who would you prefer overseeing your teeth whitening treatment?

At Smile Arts of NY, there’s always a licensed dentist or a licensed hygienist overseeing your teeth whitening treatment.

The bulk of the procedure is usually performed by an experienced highly trained dental assistants who has done hundreds, if not thousands teeth whitening treatments.