Exploring the Best Options for Replacing Missing Teeth
Missing teeth can be more than just a cosmetic concern; they can significantly affect your oral health, self-esteem, and overall quality of life. As many
Complimentary Teeth Whitening Pen with your next routine dental visit. Limited time offer!
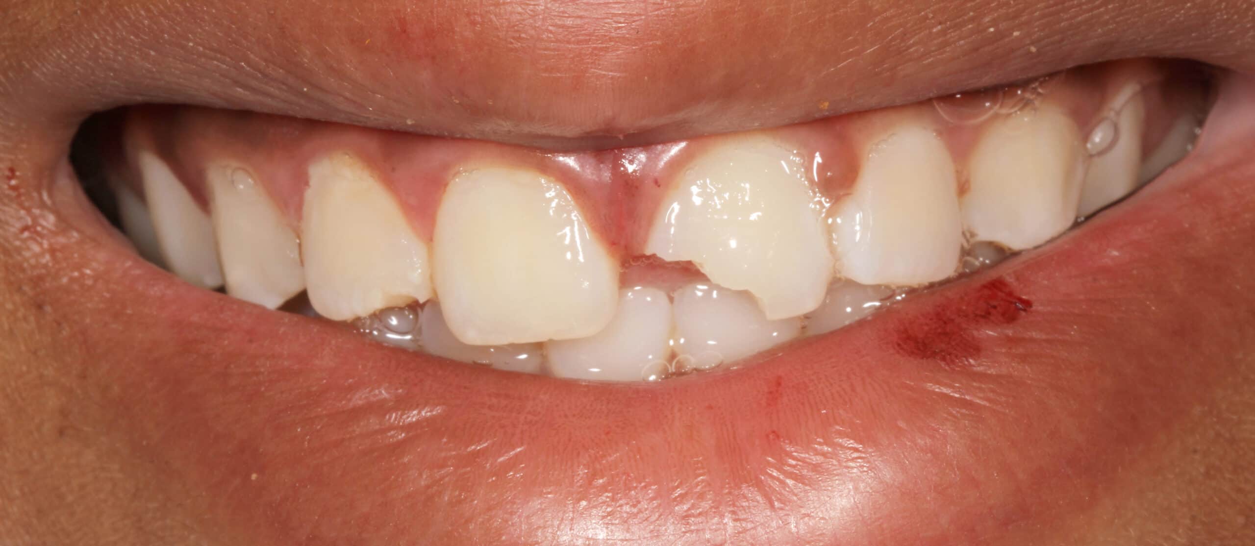
12 year old male patient fell of his bicycle on a Saturday. He hit his lip and front teeth on the pavement. He did not have much tooth pain after the initial trauma. He presented the next day to our office to evaluate the tooth for repair. As an emergency dentist in NYC we treat all types of tooth injuries.
Luckily, his front tooth did not suffer any nerve damage. The tooth was not mobile and mostly intact aside from the obvious fracture. The nerve in the tooth is was healthy, not causing any significant pain.
Since the front tooth did not sustain any nerve damage it was safe to proceed with restoring the tooth with a bonding. A bonding is the same material we often use in dental fillings. We usually do not place porcelain veneers or crowns on patients under 17 years old. Since, young patients’ bone is still growing, the crown may not look correct a few years after placement.
In this case we decided to restore the tooth with dental bonding or filling material. The procedure was performed chair-side in our office with a bit of anesthesia since the tooth was still sensitive from the trauma that it suffered. Patient left our office very happy.
Our patient is a well known actress/comedian who accidentally broke her tooth while eating over the weekend. The dentist, Dr. Peter Mann, repaired her tooth with a bonding. In the future we recommend to place porcelain veneers on her two front teeth. Porcelain veneers will look much better and last longer than the bonding.
Having completed NYU School of Dentistry and a General Residency program in Kings County hospital. Dr. Peter Mann has trained with some of the top world renowned dentists. Being recognized in 2009 with a fellowship award from the (ICOI) International Congress of Oral Implantology and in 2012 with a fellowship award from the (AGD) Academy of General Dentistry.
In 2009 Dr. Peter Mann decided it was time to achieve his vision by opening his dental office to provide outstanding dental services to NYC residents. Smile Arts of NY is located in the heart of Manhattan on E. 40th between Madison and Park ave.
Originally born in Ukraine, when iron curtain of communism collapsed his family took the opportunity to pursue the American dream by moving to New York. Dr. Peter Mann has lived in New York ever since, for over 33 years. His goal is to provide excellent dental experience for his fellow New Yorkers.
Dr. Mann lives minutes from the office. Patients undergoing treatment have his cell phone number and can always get in touch with any questions or concerns. It’s not unusual to see Dr. Mann arriving after hours to help a patient with an emergency.
Missing teeth can be more than just a cosmetic concern; they can significantly affect your oral health, self-esteem, and overall quality of life. As many
Bad breath, or halitosis, is a common issue that affects people of all ages. While it can be embarrassing, understanding the root causes can help
One of the most promising applications of AI technology is in the field of dentistry, particularly in the analysis of dental X-rays.
Our teeth are one of the most important assets we have. The old adage, “you’ll miss them when they’re gone,” is never more true than
Oral care encompasses so much more than just your teeth; it is also centered on ensuring the health and longevity of your gums. It is
If you have particularly sensitive teeth, you may find yourself avoiding dental cleanings for fear of discomfort or pain. A feeling of sharpness or like your teeth might fall out are the types of pain typically felt by sufferers of tooth sensitivity.