Nearly every person has had a dental filling at some point in time. Sometimes, those fillings just don’t feel right. The tooth may be causing pain on chewing, sensitivity to biting, or is causing constant pain. We’ll discuss here the top 3 reasons for a new dental filling to hurt.
1. The Filling is too High
The filling maybe too high causing the tooth to make contact first ever so slightly, each time you bite. After a while the tooth’s nerves send signals that it’s being overloaded causing discomfort each time you bite.
This is the most common reason for a new filling to cause discomfort. It’s also the easiest one to resolve. The filling just needs to be polished down a bit by your dentist. The patient’s bite usually feels better immediately. The tooth recovers from the trauma in just 1-2 days.
2. The Dental Filling is too close to the nerve
When a Cavity is very deep, the dentist has to drill close to the nerve. The nerve doesn’t always respond well to the drilling if its too close. Placing a filling very close to the nerve can also cause the nerve to act abnormally or the nerve can die off over time. It’s best to take x-rays of deep dental fillings routinely to make sure the tooth is healthy. Symptoms of a tooth with a deep filling such as throbbing pain or lingering sensitivity to hot or cold lasting 15 seconds or longer, signify the tooth likely needs a root canal.
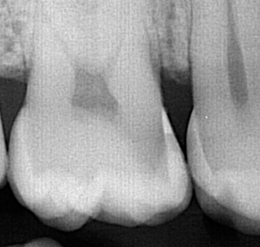
3. The Dental Filling is causing food impaction
When a tooth cavity extends to between teeth, it’s very important to have a filling that makes a tight contact with the tooth next to it. You want the contact to be so tight that you can hear the floss snapping when passing through. If the contact is too wide, the floss is not getting much resistance then food will be getting in between teeth at each meal. This can irritate the gum causing gum discomfort, swelling, or even an abscess.
This dental filling should get redone if possible to make a tight contact between teeth. If for some reason the dental filling material is unable to close the space between teeth, a porcelain crown or onlay maybe needed.





